Success Stories

Discover the incredible transformations of our patients. Each smile tells a story of renewed confidence and fulfilled dreams.

500+Smiles Transformed
30+Years of Experience
98%Patient Satisfaction
30+Countries Served

Real Transformations

Each case is unique, each result is extraordinary. Meet our patients' stories.

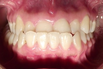
Before - Estela
Before
After - Estela
After

Estela - Traditional Braces

Complete correction of dental crowding and bite improvement. Spectacular result that changed her confidence when smiling.

18 months
Traditional Braces
Before - Lucía
Before
After - Lucía
After

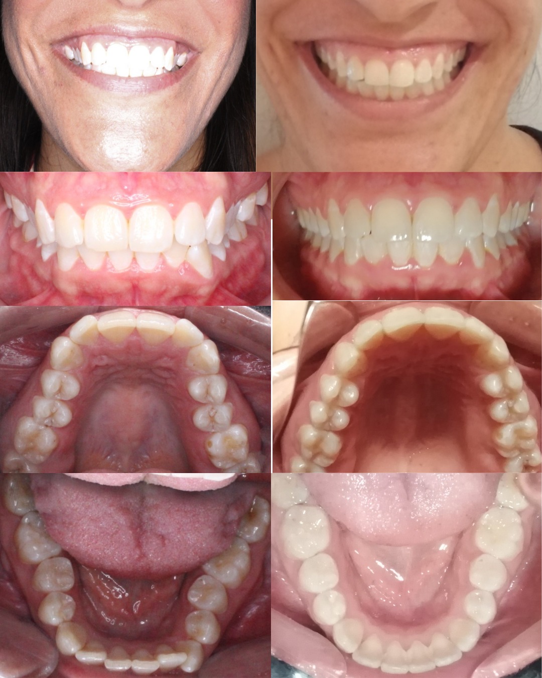
Lucía - Damon Clear Braces

Perfect alignment with clear aesthetic braces. Discreet treatment that allowed her to maintain her social life without limitations.

12 months
Damon Clear Braces
Before - Margarita
Before
After - Margarita
After

Margarita - Damon Clear Braces

We completely closed the gaps in the front teeth, radically transforming her smile and boosting her self-esteem.

12 months
Damon Clear Braces
Before - Williams
Before
After - Williams
After

Williams - Traditional Braces

We corrected his dental alignment and above all gave him a beautiful smile at the end. Complete treatment with excellent results.

16 months
Traditional Braces
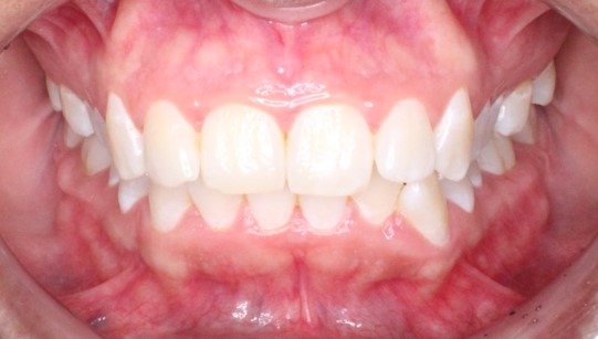
Before - Tania
Before
After - Tania
After

Tania - Damon Braces

Comprehensive orthodontic treatment to correct severe crowding. Notable improvement in masticatory function and facial aesthetics with excellent results.

12 months
Damon Braces
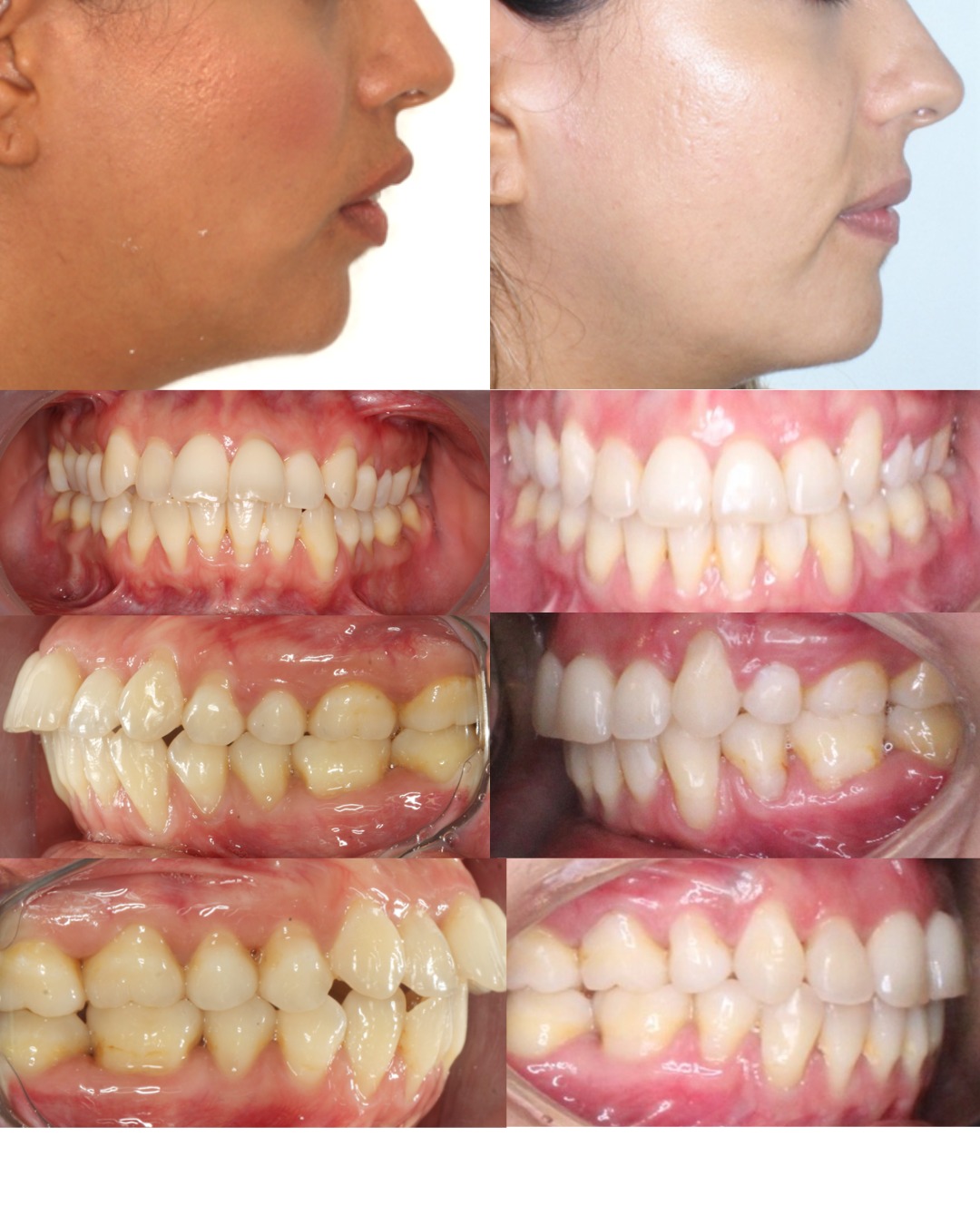
Before - Marzia
Before
After - Marzia
After

Marzia - Damon Braces

Complete correction of alignment and bite. Radiant and natural smile that exceeded all her expectations.

16 months
Damon Braces
Before - David
Before
After - David
After

David - Invisalign + Implant + High Aesthetic Crown

He had absence of 1 tooth, midline deviated to the right, severe crowding and very bad bite. The final result was a complete success.

20 months
Invisalign + Implant + Crown

More Transformations

Gallery of our most outstanding success stories

Ready for Your Transformation?

Join hundreds of satisfied patients who have transformed their smiles with us.